Anti-Prostaglandin reductase 3 Rabbit Polyclonal Antibody

Anti-Prostaglandin reductase 3 Rabbit Polyclonal Antibody
Anti-Prostaglandin reductase 3 Rabbit Polyclonal Antibody
Anti-Prostaglandin reductase 3 Rabbit Polyclonal Antibody
Anti-Prostaglandin reductase 3 Rabbit Polyclonal Antibody

Anti-Prostaglandin reductase 3 Rabbit Polyclonal Antibody

Rabbit IgG Polyclonal for PTGR3 detection, Test with WB, IHC-P in Human, Mouse

Reactivity
  • Human
  • Mouse
Application
  • WB
  • IHC-P
Host
  • Rabbit
Catalog Number
    ABXB03587
$340.00

Shipping To:
United States

Product Information

Downloads & Supports

Target
    PTGR3
Host
  • Rabbit
Storage
    Store at 4°C short term. Aliquot and store at -20°C long term. Avoid freeze/thaw cycles.
Clonality
  • Polyclonal
Clone Number
    -
Isotype
    IgG
Reactivity
  • Human
  • Mouse
Application
  • WB
  • IHC-P
Application Details
    WB: 1/500-1/1000 IHC: 1/50-1/100
Immunogen
    Synthetic peptide of human ZADH2
Molecular Weight
    Calculated MW: 40 kDa; Observed MW: 40 kDa
Formulation
    pH 7.4 PBS, 0.05% NaN3, 40% Glycerol
Form
    Liquid
Gene ID
    284273
Uniprot ID
    Q8N4Q0
Background
    Functions as 15-oxo-prostaglandin 13-reductase and acts on 15-keto-PGE1, 15-keto-PGE2, 15-keto-PGE1-alpha and 15-keto-PGE2-alpha with highest efficiency towards 15-keto-PGE2-alpha.
Research Area
    Cell Biology
Synonyms
    PRG-3
MSDSProtocolsRequest COAAlgent Product GuaranteeNeed support?

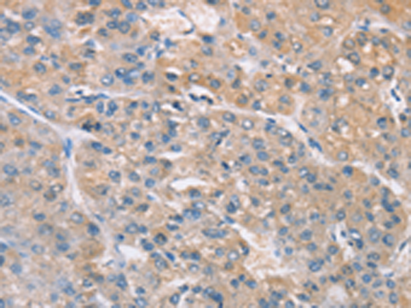
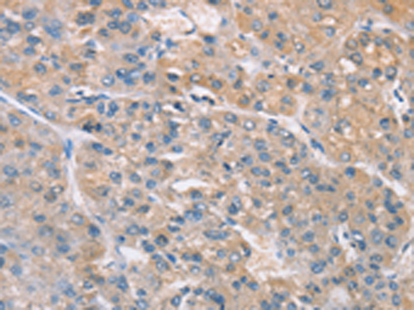
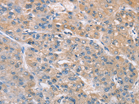
Product Image

Western blot analysis of Prostaglandin reductase 3 in mouse brain lysates using Prostaglandin reductase 3
Immunohistochemistry analysis of paraffin-embedded Human liver cancer using Prostaglandin reductase 3. High-pressure and temperature Sodium Citrate pH 6.0 was used for antigen retrieval.