Anti-Phospho-Tau (Ser396) Rabbit Monoclonal Antibody

Anti-Phospho-Tau (Ser396) Rabbit Monoclonal Antibody
Anti-Phospho-Tau (Ser396) Rabbit Monoclonal Antibody
Anti-Phospho-Tau (Ser396) Rabbit Monoclonal Antibody
Anti-Phospho-Tau (Ser396) Rabbit Monoclonal Antibody

Anti-Phospho-Tau (Ser396) Rabbit Monoclonal Antibody

Rabbit IgG Monoclonal for MAPT detection, Test with WB, IHC-P in Human, Mouse, Rat

Reactivity
  • Human
  • Mouse
  • Rat
Application
  • WB
  • IHC-P
Host
  • Rabbit
Catalog Number
    ABXB62749
$370.00

Shipping To:
United States

Product Information

Downloads & Supports

Target
    MAPT
Host
  • Rabbit
Storage
    Store at 4°C short term. Aliquot and store at -20°C long term. Avoid freeze/thaw cycles.
Clonality
  • Monoclonal
Clone Number
    R05-4P1
Isotype
    IgG
Reactivity
  • Human
  • Mouse
  • Rat
Application
  • WB
  • IHC-P
Application Details
    WB: 1/500-1/1000 IHC: 1/50-1/100
Immunogen
    A synthesized peptide derived from human Phospho-Tau (S396)
Molecular Weight
    Calculated MW: 79 kDa; Observed MW: 50-80 kDa
Formulation
    Rabbit IgG in phosphate buffered saline , pH 7.4, 150mM NaCl, 0.02% sodium azide and 50% glycerol.
Form
    Liquid
Gene ID
    4137
Uniprot ID
    P10636
Background
    This gene encodes the microtubule-associated protein tau (MAPT) whose transcript undergoes complex, regulated alternative splicing, giving rise to several mRNA species. MAPT transcripts are differentially expressed in the nervous system, depending on stage of neuronal maturation and neuron type.
Research Area
    Neuroscience
Synonyms
    MAPT; MAPTL; MTBT1; TAU; Microtubule-associated protein tau; Neurofibrillary tangle protein; Paired helical filament-tau; PHF-tau
MSDSProtocolsRequest COAAlgent Product GuaranteeNeed support?

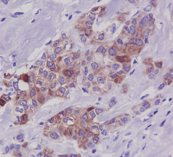
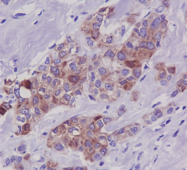
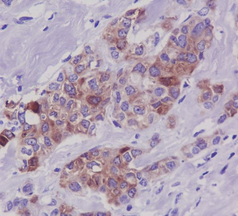
Product Image

Western blot analysis of Phospho-Tau (S396) in (1) SH-SY5Y lysates treated with AP; (2) SH-SY5Y lysates using Phospho-Tau (Ser396) antibody.
Immunohistochemistry analysis of paraffin-embedded Human breast carcinoma using Phospho-Tau (S396) antibody.High-pressure and temperature Sodium Citrate pH 6.0 was used for antigen retrieval.