Anti-Phospho-p107 (Thr369) Rabbit Polyclonal Antibody

Anti-Phospho-p107 (Thr369) Rabbit Polyclonal Antibody
Anti-Phospho-p107 (Thr369) Rabbit Polyclonal Antibody
Anti-Phospho-p107 (Thr369) Rabbit Polyclonal Antibody
Anti-Phospho-p107 (Thr369) Rabbit Polyclonal Antibody

Anti-Phospho-p107 (Thr369) Rabbit Polyclonal Antibody

Rabbit IgG Polyclonal for RBL1 detection, Test with IHC-P, ELISA in Human, Mouse

Reactivity
  • Human
  • Mouse
Application
  • IHC-P
  • ELISA
Host
  • Rabbit
Catalog Number
    ABXB05484
$370.00

Shipping To:
United States

Product Information

Downloads & Supports

Target
    RBL1
Host
  • Rabbit
Storage
    Store at 4°C short term. Aliquot and store at -20°C long term. Avoid freeze/thaw cycles.
Clonality
  • Polyclonal
Clone Number
    -
Isotype
    IgG
Reactivity
  • Human
  • Mouse
Application
  • IHC-P
  • ELISA
Application Details
    IHC: 1/50-1/100 ELISA: 1/10000
Immunogen
    The antiserum was produced against synthesized peptide derived from human RBL1 around the phosphorylation site of Thr369.
Molecular Weight
    -
Formulation
    Liquid in PBS containing 50% glycerol, 0.5% BSA and 0.02% sodium azide, pH 7.3.
Form
    Liquid
Gene ID
    5933
Uniprot ID
    P28749
Background
    Key regulator of entry into cell division. Directly involved in heterochromatin formation by maintaining overall chromatin structure and, in particular, that of constitutive heterochromatin by stabilizing histone methylation. Recruits and targets histone methyltransferases KMT5B and KMT5C, leading to epigenetic transcriptional repression. Controls histone H4 'Lys-20' trimethylation. Probably acts as a transcription repressor by recruiting chromatin-modifying enzymes to promoters. Potent inhibitor of E2F-mediated trans-activation. Forms a complex with adenovirus E1A and with SV40 large T antigen. May bind and modulate functionally certain cellular proteins with which T and E1A compete for pocket binding. May act as a tumor suppressor.
Research Area
    Cell Biology
Synonyms
    PRB1; p107; CP107
MSDSProtocolsRequest COAAlgent Product GuaranteeNeed support?

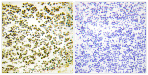
Product Image

EnzymeLinked Immunosorbent Assay (Phospho-ELISA) for Immunogen Phospho-peptide (Phospho-left) and NonPhospho-peptide (Phospho-right), using RBL1 (Phospho-Thr36antibody
Immunohistochemical analysis of paraffin-embedded Human tonsils using Phospho-p107 (Thr369). Sample with blocking peptide on the right.High-pressure and temperature Sodium Citrate pH 6.0 was used for antigen retrieval.