Anti-Phospho-NF-KB p105 (Ser927) Rabbit Polyclonal Antibody
Product Information
Downloads & Supports
Target
-
NFKB1
Host
Storage
-
Store at 4°C short term. Aliquot and store at -20°C long term. Avoid freeze/thaw cycles.
Clonality
Clone Number
-
-
Isotype
-
IgG
Reactivity
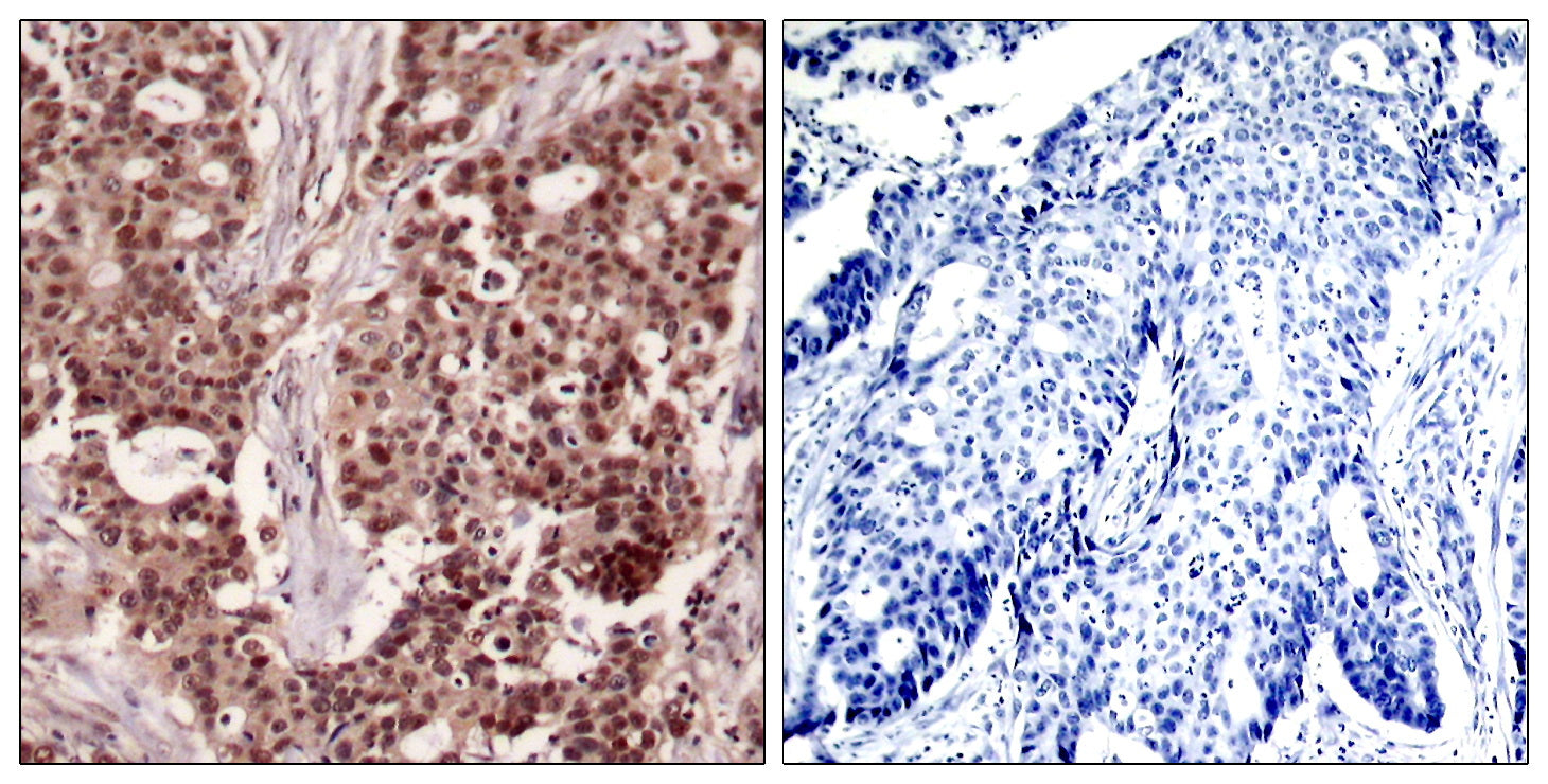
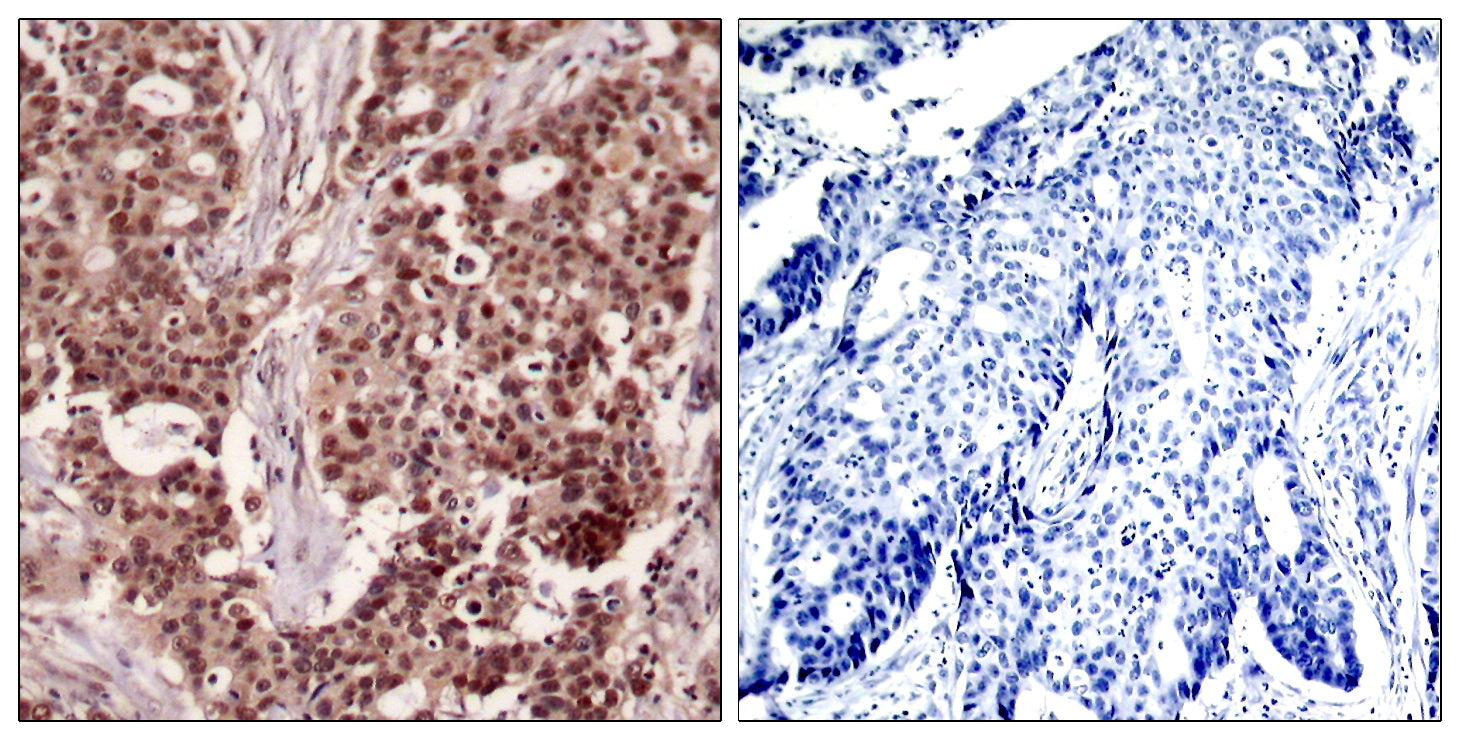
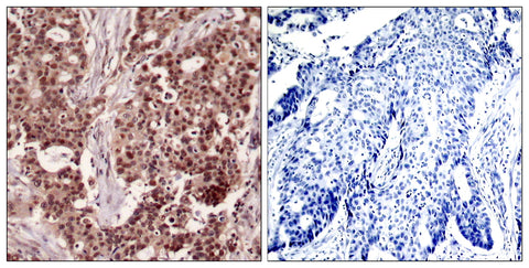
Application
Application Details
-
WB: 1/500-1/1000 IHC: 1/50-1/100 IF: 1/50-1/200
Immunogen
-
Peptide sequence around phosphorylation site of serine 927 (C-D-S(p)-G-V) derived from Human NFκB-p105.
Molecular Weight
-
Calculated MW: 105 kDa; Observed MW: 120 kDa
Formulation
-
Liquid in PBS containing 50% glycerol, 0.5% BSA and 0.02% sodium azide, pH 7.3.
Form
-
Liquid
Gene ID
-
4790
Uniprot ID
-
P19838
Background
-
NFkB-p105 a transcription factor of the nuclear factor-kappaB ( NFkB) group. Undergoes cotranslational processing by the 26S proteasome to produce a 50 kD protein. The 105 kD protein is a Rel protein-specific transcription inhibitor and the 50 kD protein is a DNA binding subunit of NFkB. NFkB is a transcription regulator that is activated by various intra- and extra-cellular stimuli such as cytokines, oxidant-free radicals, ultraviolet irradiation, and bacterial or viral products.
Research Area
-
Cell Biology
Synonyms
-
NFKB1; Nuclear factor NF-kappa-B p105 subunit; DNA-binding factor KBF1; EBP-1; Nuclear factor of kappa light polypeptide gene enhancer in B-cells 1