Anti-Phospho-CREB (Ser142) Rabbit Polyclonal Antibody

Anti-Phospho-CREB (Ser142) Rabbit Polyclonal Antibody
Anti-Phospho-CREB (Ser142) Rabbit Polyclonal Antibody
Anti-Phospho-CREB (Ser142) Rabbit Polyclonal Antibody
Anti-Phospho-CREB (Ser142) Rabbit Polyclonal Antibody

Anti-Phospho-CREB (Ser142) Rabbit Polyclonal Antibody

Rabbit IgG Polyclonal for CREB1 detection, Test with WB, IHC-P in Human, Mouse, Rat

Reactivity
  • Human
  • Mouse
  • Rat
Application
  • WB
  • IHC-P
Host
  • Rabbit
Catalog Number
    ABXB05642
$370.00

Shipping To:
United States

Product Information

Downloads & Supports

Target
    CREB1
Host
  • Rabbit
Storage
    Store at 4°C short term. Aliquot and store at -20°C long term. Avoid freeze/thaw cycles.
Clonality
  • Polyclonal
Clone Number
    -
Isotype
    IgG
Reactivity
  • Human
  • Mouse
  • Rat
Application
  • WB
  • IHC-P
Application Details
    WB: 1/500-1/1000 IHC: 1/50-1/100
Immunogen
    Synthetic peptide of human CREB1
Molecular Weight
    Calculated MW: 35 kDa; Observed MW: 37,43 kDa
Formulation
    Liquid in PBS containing 50% glycerol, 0.5% BSA and 0.02% sodium azide, pH 7.3.
Form
    Liquid
Gene ID
    1385
Uniprot ID
    P16220
Background
    This gene encodes a transcription factor that is a member of the leucine zipper family of DNA binding proteins. This protein binds as a homodimer to the cAMP-responsive element, an octameric palindrome.
Research Area
    Epigenetics and Nuclear Signaling
Synonyms
    CREB1; Cyclic AMP-responsive element-binding protein 1; CREB-1; cAMP-responsive element-binding protein 1
MSDSProtocolsRequest COAAlgent Product GuaranteeNeed support?

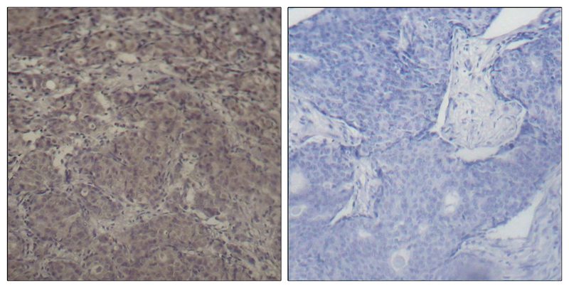
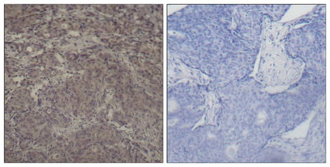
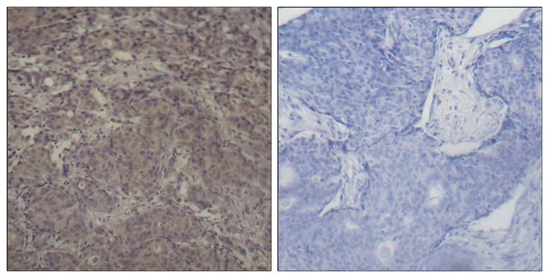
Product Image

Western blot analysis of Phospho-CREB (Ser142) in 293 lysates using Phospho-CREB (Ser142).
Immunohistochemistry analysis of paraffin-embedded Human breast carcinoma tissue using CREB (Phospho-Ser142).High-pressure and temperature Sodium Citrate pH 6.0 was used for antigen retrieval. Sample with blocking peptide on the right.