Anti-beta 2 Adrenergic Receptor Rabbit Polyclonal Antibody

Anti-beta 2 Adrenergic Receptor Rabbit Polyclonal Antibody
Anti-beta 2 Adrenergic Receptor Rabbit Polyclonal Antibody
Anti-beta 2 Adrenergic Receptor Rabbit Polyclonal Antibody
Anti-beta 2 Adrenergic Receptor Rabbit Polyclonal Antibody

Anti-beta 2 Adrenergic Receptor Rabbit Polyclonal Antibody

Rabbit IgG Polyclonal for ADRB2 detection, Test with WB, IHC-P in Human, Mouse

Reactivity
  • Human
  • Mouse
Application
  • WB
  • IHC-P
Host
  • Rabbit
Catalog Number
    ABXB01608
$340.00

Shipping To:
United States

Product Information

Downloads & Supports

Target
    ADRB2
Host
  • Rabbit
Storage
    Store at 4°C short term. Aliquot and store at -20°C long term. Avoid freeze/thaw cycles.
Clonality
  • Polyclonal
Clone Number
    -
Isotype
    IgG
Reactivity
  • Human
  • Mouse
Application
  • WB
  • IHC-P
Application Details
    WB: 1/500-1/1000 IHC: 1/50-1/100
Immunogen
    Synthetic peptide of human ADRB2
Molecular Weight
    Calculated MW: 46 kDa; Observed MW: 46 kDa
Formulation
    pH 7.4 PBS, 0.05% NaN3, 40% Glycerol
Form
    Liquid
Gene ID
    154
Uniprot ID
    P07550
Background
    Beta-adrenergic receptors mediate the catecholamine-induced activation of adenylate cyclase through the action of G proteins. The beta-2-adrenergic receptor binds epinephrine with an approximately 30-fold greater affinity than it does norepinephrine.
Research Area
    Signal Transduction
Synonyms
    ADRB2; ADRB2R; B2AR; Beta-2 adrenergic receptor; Beta-2 adrenoreceptor; Beta-2 adrenoceptor
MSDSProtocolsRequest COAAlgent Product GuaranteeNeed support?

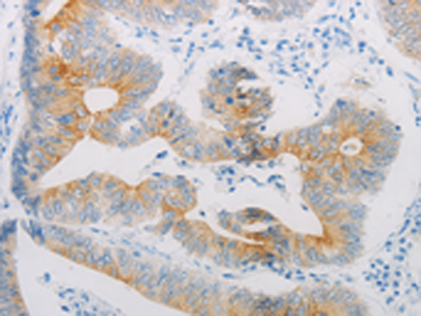
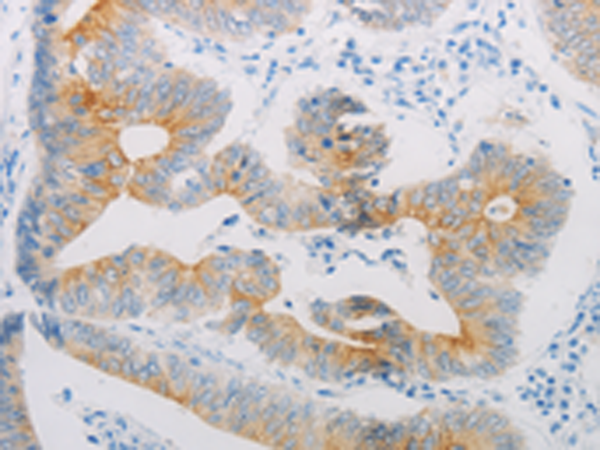
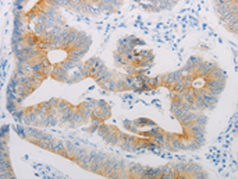
Product Image

Western blot analysis of beta 2 Adrenergic Receptor in Hela, A549 lysates using beta 2 Adrenergic Receptor
Immunohistochemistry analysis of paraffin-embedded Human colon cancer using beta 2 Adrenergic Receptor. High-pressure and temperature Sodium Citrate pH 6.0 was used for antigen retrieval.