Anti-Androgen Receptor Mouse Monoclonal Antibody

Anti-Androgen Receptor Mouse Monoclonal Antibody
Anti-Androgen Receptor Mouse Monoclonal Antibody
Anti-Androgen Receptor Mouse Monoclonal Antibody
Anti-Androgen Receptor Mouse Monoclonal Antibody

Anti-Androgen Receptor Mouse Monoclonal Antibody

Mouse IgG2b Monoclonal for AR detection, Test with IHC-P in Human

Reactivity
  • Human
Application
  • IHC-P
Host
  • Mouse
Catalog Number
    ABXB00161
$400.00

Shipping To:
United States

Product Information

Downloads & Supports

Target
    AR
Host
  • Mouse
Storage
    Store at 4°C short term. Aliquot and store at -20°C long term. Avoid freeze/thaw cycles.
Clonality
  • Monoclonal
Clone Number
    8E10-6G2-7F3
Isotype
    IgG2b
Reactivity
  • Human
Application
  • IHC-P
Application Details
    IHC: 1/100-1/500
Immunogen
    Synthesized peptide derived from human Androgen Receptor(AR)
Molecular Weight
    -
Formulation
    Liquid in PBS containing 50% glycerol, 0.5% BSA and 0.02% sodium azide, pH 7.3.
Form
    Liquid
Gene ID
    367
Uniprot ID
    P10275
Background
    Androgen receptor (AR), a zinc finger transcription factor belonging to the nuclear receptor superfamily, is activated by phosphorylation and dimerization upon ligand binding. This promotes nuclear localization and binding of AR to androgen response elements in androgen target genes.
Research Area
    Signal Transduction
Synonyms
    AR; DHTR; NR3C4; Androgen receptor; Dihydrotestosterone receptor; Nuclear receptor subfamily 3 group C member 4
MSDSProtocolsRequest COAAlgent Product GuaranteeNeed support?

Product Image

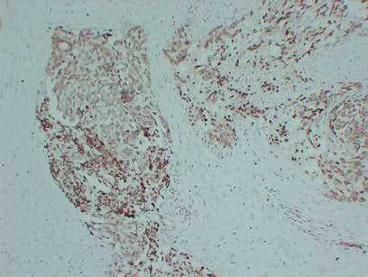
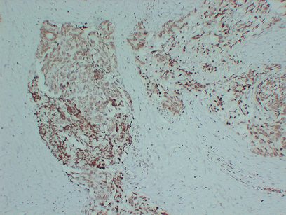
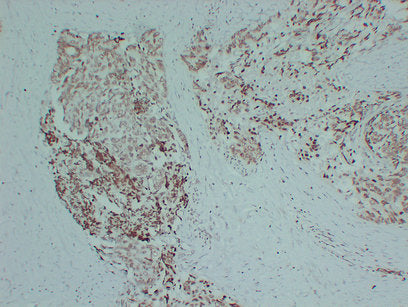
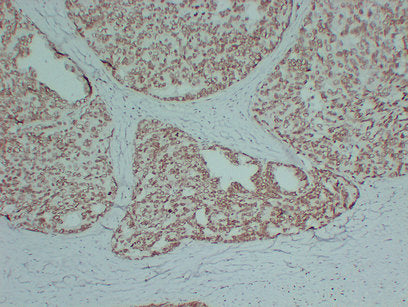
Immunohistochemistry analysis of paraffin-embedded Prostatic carcinoma using Androgen Receptor.High-pressure and temperature Sodium Citrate pH 6.0 was used for antigen retrieval.
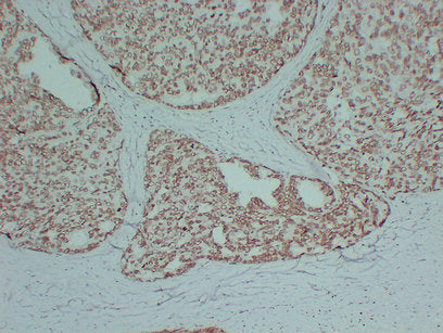
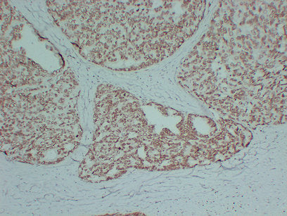
Immunohistochemistry analysis of paraffin-embedded Prostatic carcinoma using Androgen Receptor.High-pressure and temperature Sodium Citrate pH 6.0 was used for antigen retrieval.