Anti-ACTR3B Rabbit Polyclonal Antibody

Anti-ACTR3B Rabbit Polyclonal Antibody
Anti-ACTR3B Rabbit Polyclonal Antibody
Anti-ACTR3B Rabbit Polyclonal Antibody
Anti-ACTR3B Rabbit Polyclonal Antibody

Anti-ACTR3B Rabbit Polyclonal Antibody

Rabbit IgG Polyclonal for ACTR3B detection, Test with WB, IHC-P in Human, Mouse

Reactivity
  • Human
  • Mouse
Application
  • WB
  • IHC-P
Host
  • Rabbit
Catalog Number
    ABXB02637
$340.00

Shipping To:
United States

Product Information

Downloads & Supports

Target
    ACTR3B
Host
  • Rabbit
Storage
    Store at 4°C short term. Aliquot and store at -20°C long term. Avoid freeze/thaw cycles.
Clonality
  • Polyclonal
Clone Number
    -
Isotype
    IgG
Reactivity
  • Human
  • Mouse
Application
  • WB
  • IHC-P
Application Details
    WB: 1/500-1/1000 IHC: 1/50-1/100
Immunogen
    Fusion protein of human ACTR3B
Molecular Weight
    Calculated MW: 48 kDa; Observed MW: 48 kDa
Formulation
    pH 7.4 PBS, 0.05% NaN3, 40% Glycerol
Form
    Liquid
Gene ID
    57180
Uniprot ID
    Q9P1U1
Background
    Plays a role in the organization of the actin cytoskeleton.
Research Area
    Immunology
Synonyms
    actin related protein 3B; ARP11; ARP3BETA
MSDSProtocolsRequest COAAlgent Product GuaranteeNeed support?

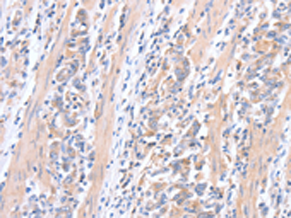
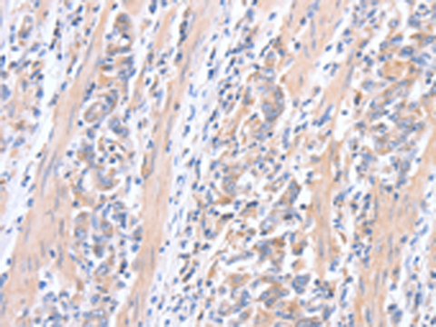
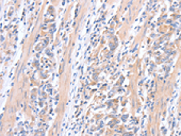
Product Image

Western blot analysis of ACTR3B in mouse brain lysates using ACTR3B.
Immunohistochemistry analysis of paraffin-embedded Human gasrtic cancer using ACTR3B. High-pressure and temperature Sodium Citrate pH 6.0 was used for antigen retrieval.