Anti-ABCB6 Rabbit Polyclonal Antibody

Anti-ABCB6 Rabbit Polyclonal Antibody
Anti-ABCB6 Rabbit Polyclonal Antibody
Anti-ABCB6 Rabbit Polyclonal Antibody
Anti-ABCB6 Rabbit Polyclonal Antibody

Anti-ABCB6 Rabbit Polyclonal Antibody

Rabbit IgG Polyclonal for ABCB6 detection, Test with WB, IHC-P in Human, Mouse, Rat

Reactivity
  • Human
  • Mouse
  • Rat
Application
  • WB
  • IHC-P
Host
  • Rabbit
Catalog Number
    ABXB00661
$340.00

Shipping To:
United States

Product Information

Downloads & Supports

Target
    ABCB6
Host
  • Rabbit
Storage
    Store at 4°C short term. Aliquot and store at -20°C long term. Avoid freeze/thaw cycles.
Clonality
  • Polyclonal
Clone Number
    -
Isotype
    IgG
Reactivity
  • Human
  • Mouse
  • Rat
Application
  • WB
  • IHC-P
Application Details
    WB: 1/500-1/1000 IHC: 1/50-1/100
Immunogen
    Fusion protein of human ABCB6
Molecular Weight
    Calculated MW: 94 kDa; Observed MW: 94 kDa
Formulation
    pH 7.4 PBS, 0.05% NaN3, 40% Glycerol
Form
    Liquid
Gene ID
    10058
Uniprot ID
    Q9NP58
Background
    ATP-dependent transporter that catalyzes the transport of a broad-spectrum of porphyrins from the cytoplasm to the extracellular space through the plasma membrane or into the vesicle lumen.
Research Area
    Signal Transduction
Synonyms
    ATP-binding cassette; sub-family B (MDR/TAP); member 6; ABC; LAN; PRP; umat; ABC14; MTABC3; MCOPCB7
MSDSProtocolsRequest COAAlgent Product GuaranteeNeed support?

Product Image

Western blot analysis of ABCB6 in mouse liver lysates using ABCB6.
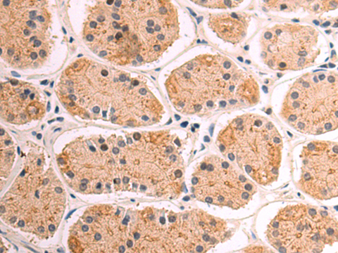
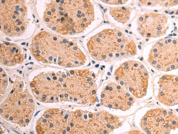
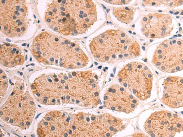
Immunohistochemistry analysis of paraffin-embedded Human esophagus cancer using ABCB6. High-pressure and temperature Sodium Citrate pH 6.0 was used for antigen retrieval.